Zahngesundheit
„Puuh du hast Mundgeruch!“
Warum Zahngesundheit auch beim Tier so wichtig ist:
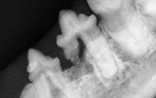
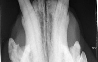
Werden die Zähne nicht täglich intensiv geputzt, bleibt ein Belag, die „Plaque“ zurück. In diese Schicht lagern sich nach und nach Mineralstoffe und Bakterien ein. So entsteht an den Außenflächen der Zähne harter, braungrauer Zahnstein. Durch die Eiter erregenden Keime in Plaque und Zahnstein entzündet sich das Zahnfleisch, es wird rot und riecht Übelkeit erregend. Schreitet die Zahnfleischentzündung (Gingivitis) weiter voran, verlieren die Zähne oft vollständig ihren Halt, bleiben aber als ständiger Entzündungsherd häufig noch jahrelang im Kiefer. Häufig entstehen, vielfach unterhalb des Zahnfleischsaumes, Löcher in den Zahnhälsen und Zahnwurzeln. Diese werden als FORL (feline odontoklastische resorptive Läsionen) bezeichnet; Die Zahnsubstanz löst sich regelrecht auf.
All diese Entzündungsprozesse bleiben nicht allein auf die Maulhöhle beschränkt, denn die Eiterbakterien werden via Blutkreislauf im ganzen Körper verteilt. So leiden Katzen und Hunde mit Zahnproblemen oft zusätzlich an Nieren-, Leber- oder Herzschädigungen. Wegen des üblen Geruchs, der nicht nur dem Besitzer sondern auch den Tieren selbst in die Nase sticht, sowie wegen der Zahnschmerzen fressen die betroffenen Tiere oft auch schlechter als vorher. Außerdem putzen sie sich häufig nicht mehr ausreichend.
Begünstigt werden Zahnfleischentzündungen zusätzlich durch Virusinfektionen, die das Immunsystem schwächen. Vor allem Herpes- und Caliciviren, die auch bei der Entstehung des so genannten „Katzenschnupfens“ beteiligt sind, bereiten den Weg für die hochgradigen Entzündungsreaktionen. Auch die Immmunschwächevirus–Infektion (FIV) und die Katzenleukämie (FeLV) äußern sich u. a. in einer Gingivitis.
Um diesen schweren Schäden vorzubeugen, ist die rechtzeitige Diagnose wichtig. Im Rahmen der jährlichen Untersuchung beim Impfen werden deshalb immer die Zähne mit besonderer Aufmerksamkeit betrachtet.
Wie läuft eine Zahnsanierung ab?
Zunächst ist die Entfernung des krank machenden Zahnsteins und die Wiederherstellung eines gesünderen Zahnfleisches wichtig. Da die Beläge auf den Zähnen mit einem Ultraschallgerät entfernt und die Zähne anschließend aufwändig poliert werden müssen, ist eine schonende altersangepasste Vollnarkose unumgänglich. Lockere und bereits angegriffene Zähne werden entfernt. Wegen der Eiterbakterien werden Antibiotika über eine bestimmte Zeit ebenso verabreicht wie wirkungsvolle Schmerzmedikamente.
Um ihren Tieren eine noch bessere zahnmedizinische Versorgung anzubieten, haben wir uns im vergangenen Jahr eine sehr hochwertige Dentaleinheit (Profident Plus) der Firma Eickemeyer gekauft. Damit können wir nun problemlos festsitzende mehrwurzlige oder auch abgebrochene Zähne spalten bzw. entfernen.
Damit Ihre Tiere auch in Zukunft kraftvoll zubeißen können!
Weitere Informationen finden Sie unter:
https://www.tieraerzteverband.de/smile/smile-aktionen/zahngesundheit-katze.php











